Views: 7 Author: 菌物健康 Publish Time: 2022-07-07 Origin: 参考文献:[1]刘楚一. 不同发育阶段云芝子实体水提物保肝作用[J].2021, 28(3):122-128.
云芝又名彩绒革盖菌,隶属于多孔菌科(Polyporaceae),其性平、味甘,归、脾、肝、肾经。据报道,云芝多糖具有保肝、降血脂、免疫调节等作用。云芝浸膏能抑制肝脏氧化应激,改善机体相关酶类以及细胞因子活性,对四氯化碳诱导的小鼠肝损伤具有保护作用;云芝糖肽可以提高多柔比星对AGS胃癌细胞的药效;云芝凝胶可通过促进阴道表皮再上皮化和调整微生物菌群来治疗高危型人乳头瘤病毒(HPV)感染。
不同发育阶段云芝颜色不同


云芝子实体不同发育阶段菌盖的颜色并不相同,初期菌盖黑色有白边(简称黑色云芝),之后菌盖灰黄色(简称黄色云芝),成熟时菌盖青色至藏青色(简称青色云芝)。
在正常状态时动物脏器指数比较恒定,而脏器受损时其会发生改变。脏器指数增大,表示脏器充血、水肿或增生肥大等;脏器指数减小,表示脏器萎缩及发生其他退行性改变。研究结果表明,云芝子实体水提物可以显著降低小鼠的肝脏指数,肝组织病理切片也表明其对小鼠肝损伤具有一定修复作用。
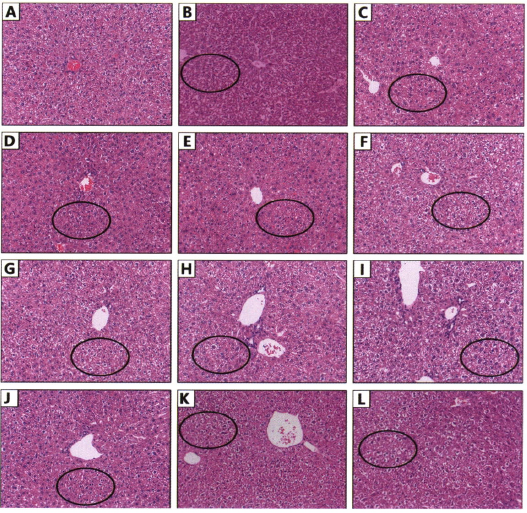
空白组小鼠肝细胞排列致密,细胞核结构清晰,无病理变化(图4A);而模型组小鼠肝脏细胞间空隙面积较大,细胞结构不清晰,细胞排列疏松,胞质内能够观察到脂肪空泡(图4B)。不同发育阶段云芝子实体水提物低、中、高剂量组小鼠肝细胞胞质较为紧密,脂肪空泡数量明显减少,但各剂量组差异不明显(图4D~L)。
血清生化指标好转
血液中尿素、谷草转氨酶、谷丙转氨酶、白蛋白、总蛋白的含量是反应肝肾功能变化的重要指标。研究结果表明,云芝子实体水提物具有增加酒精诱发肝损伤小鼠血清尿素、谷草转氨酶、谷丙转氨酶、白蛋白和总蛋白含量的作用。除了黑色云芝中、高剂量组外,其他水提物组小鼠血清尿素含量均显著增加;黑色云芝低剂量组、黄色云芝高剂量组、青色云芝各组小鼠血清谷草转氨酶含量均显著增加;黑色云芝低剂量组、黄色云芝中剂量组、青色云芝各组小鼠血清谷丙转氨酶含量均增加,其中青色云芝中剂量组增加最为显著;除黑色云芝高剂量组外,其他云芝水提物组小鼠血清白蛋白含量均增加;云芝水提物各组小鼠血清总蛋白含量均增加。
不同发育阶段云芝子实体水提物均具有一定的保肝作用,所以肝脏不好的人可以选择吃含云芝的保健食品。