Views: 22 Author: Wang Y, Hu T, Yan X, Chen XL, Shen LM, Luo P Publish Time: 2023-08-11 Origin: 2023. Effects of Dictyophora rubrovalvata polysaccharide on lung injury induced by arsenic poisoning in rats. Mycosystema, 42(7): 1601-1610
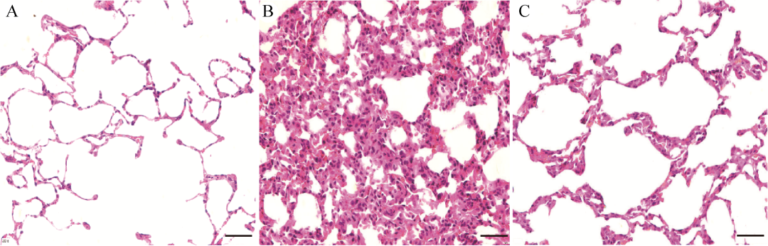
The effect of Dictyophora rubrovalvata polysaccharide (DRP) on lung tissue damage induced by arsenic poisoning in rats was investigated. The SD rats were divided into control group (fed with normal fodder), arsenic exposure group (fed with normal fodder containing 50 mg/kg arsenic) and DRP group [fed with normal fodder containing 50 mg/kg arsenic, and at the 4th month DRP solution (10 mg/mL) was given by gavage]. Ten rats were set up in each mixed group of half male and half female. After 4 months the content of arsenic in lung tissue and blood of rats was detected, and the pathological observation of lung tissue was performed, and the activity and content of superoxide dismutase (SOD), glutathione (GSH) and malondialdehyde (MDA) in rat lung tissue were determined. The levels of arsenic in lung tissue and blood in the arsenic exposure group were significantly higher than those in the control group, and the difference was statistically significant (P<0.05). The content of arsenic in lung tissue and blood in the DRP group was lower than that in the arsenic exposed group (P<0.05). The pathological observation showed that the alveolar septa in the lung tissue of the arsenic-exposed rats were significantly widened, local alveoli fused, and a large number of inflammatory cells infiltrated. The thickness of the alveolar wall in the DRP group was thinned, and the inflammatory cells infiltrated in the lung tissue were reduced. Compared with the control group, the SOD and GSH in the lung tissue of the arsenic exposure group were significantly decreased, and the MDA was significantly increased, and the difference was statistically significant (P<0.05). Compared with the arsenic exposure group, the SOD and GSH in the lung tissue of the DRP group increased, and the MDA decreased, and the difference was statistically significant (P<0.05). These results prove that Dictyophora rubrovalvata polysaccharide has protective effect on lung tissue injury induced by arsenic poisoning in rats.
Fig. 1 General observation of the appearance of rat lung tissue. A: Control group. B: Arsenic exposure group. C: DRP group.
Fig. 2 The effects of arsenic exposure on the content of arsenic in lung and blood of rats, and the changes of arsenic in lung and blood of rats after Dictyophora rubrovalvata polysaccharide intervention. Compared with the control group, a P<0.05; Compared with arsenic exposed group, b P<0.05.
Fig. 3 Pathological changes of rat lung tissue (200×). A: Control group. B: Arsenic exposure group. C: DRP group. Bars=50 μm.
Fig. 4 The effects of arsenic exposure on SOD activity, GSH content and MDA content in rats and the changes after intervention of Dictyophora rubrovalvata polysaccharide. A: SOD activity. B: GSH content. C: MDA content. Compared with the control group, a P<0.05; Compared with arsenic exposed group, b P<0.05.